Requirement for novel surgical and clinical protocols for the treatment of desmoplastic small round cell tumor: A report of two cases and a review of the literature

  • Authors:
    • Diego Cezar da Silva Pechutti
    • Pedro Luiz Toledo de Arruda Lourençao
    • Bonifacio Katsunori Takegawa
    • Cristiano Claudino Oliveira
    • Alexandre Bakonyi Neto
  • View Affiliations

  • Published online on: May 27, 2015     https://doi.org/10.3892/ol.2015.3283
  • Pages: 1103-1108
Metrics: Total Views: 0 (Spandidos Publications: | PMC Statistics: )
Total PDF Downloads: 0 (Spandidos Publications: | PMC Statistics: )


Abstract

Desmoplastic small round cell tumor (DSRCT) is a rare and highly aggressive neoplasm that was initially described in 1989. DSRCT predominantly affects young men and typically occurs in the intra‑abdominal area. The present study describes the cases of two patients with DSRCT. The first patient was a 23‑year‑old male who presented with abdominal pain in the right flank, coupled with difficulty urinating and bowel dysfunction. The second patient was 12‑year‑old female who presented with abdominal pain, emesis and loss of appetite. A computed tomography scan of the abdomen revealed the presence of an extensive pelvic mass in each patient, however, a visceral origin was not clearly identifiable in the first patient. In the second patient, a large soft‑tissue tumor was located posterior to the pancreatic tail and the stomach, with no anatomical line visible between the stomach and splenic vein. Ultrasound‑guided biopsy in the first patient and videolaparoscopy in the second patient followed by immunohistochemical analysis clarified the presence of a malignant neoplasm composed of small, blue, round cells. Due to right ureter involvement and hydronephrosis in the first patient, a treatment strategy of surgical debulking of the tumor was selected. The surgical procedure involved en bloc resection of the lesion associated with a pelvic peritonectomy, followed by post‑operative radiotherapy. However, the second patient exhibited extensive disease, therefore, a chemotherapeutic protocol of vincristine, doxorubicin and cyclophosphamide, as well as radiation therapy, was scheduled. Disease relapse was observed in the abdominal cavity of the first patient after one year, while the second patient remains asymptomatic. Following analysis of present two cases, it was concluded that aggressive treatment regimens may induce tumor regression. However, relapse of the disease is frequent and long‑term survival is rare with the currently available therapeutic strategies.

Introduction

Desmoplastic small round cell tumors (DSRCTs) are uncommon and highly aggressive neoplastic entities. The well-defined clinical and histological characteristics of DSRCT were initially described in 1989 in a study by Gerald et al (1) and then discussed again in 1991 in a study by Gerald and Rosai (2). However, the associated clinical symptoms and radiological findings are non-specific and similar to other primary intra-abdominal neoplasms. Thus far, <200 cases of DSRCT have been reported in the literature, with a higher incidence in children and young adults, a male predominance (male : female ratio, 4:1), and an average age of onset of 21 years (3). Furthermore, patients typically present with vague abdominal discomfort or distention.

The location of DSRCT is predominantly intra-abdominal, exhibiting no clearly identifiable visceral origin, but with diffuse peritoneal involvement and a clinical presentation of pain, abdominal distention and abdominal masses (2). Alternative primary sites, including paratesticular, ovarian, lung, intracranial, thoracic, and head and neck areas, have also been reported (4).

The most common sites of metastasis are the liver, lymphoid tissue and peritoneum. Differentiation of DSRCT from other small round cell tumors is important due to its highly aggressive nature, with an average survival time of <2 years (2).

The reported 5-year survival rate is 15% (5), with an average survival time of 17 months (2); this prognosis is mainly due to the lack of standardization in treatment, and the inadequate response to radiation therapy and chemotherapy.

Various aggressive treatment regimens have been applied for patients with DSRCT; however, no curative outcome or notable impact on long-term survival has been noted (6).

The present study evaluated the response of two patients with DSRCT to two distinct treatment strategies and discussed the clinical findings of this tumor type. In addition, a brief review of the relevant literature was performed.

Case report

Case 1

A 23-year-old male presented to the Clinic Hospital of Botucatu School of Medicine (São Paulo State University, São Paulo, Brazil) in September 2012 due to pain in the right side of the abdomen and inguinal region, associated with difficulty urinating and dyschezia that had been apparent for 3 months. The patient was in a good clinical condition, with a palpable liver on the right side and a mass in the right flank.

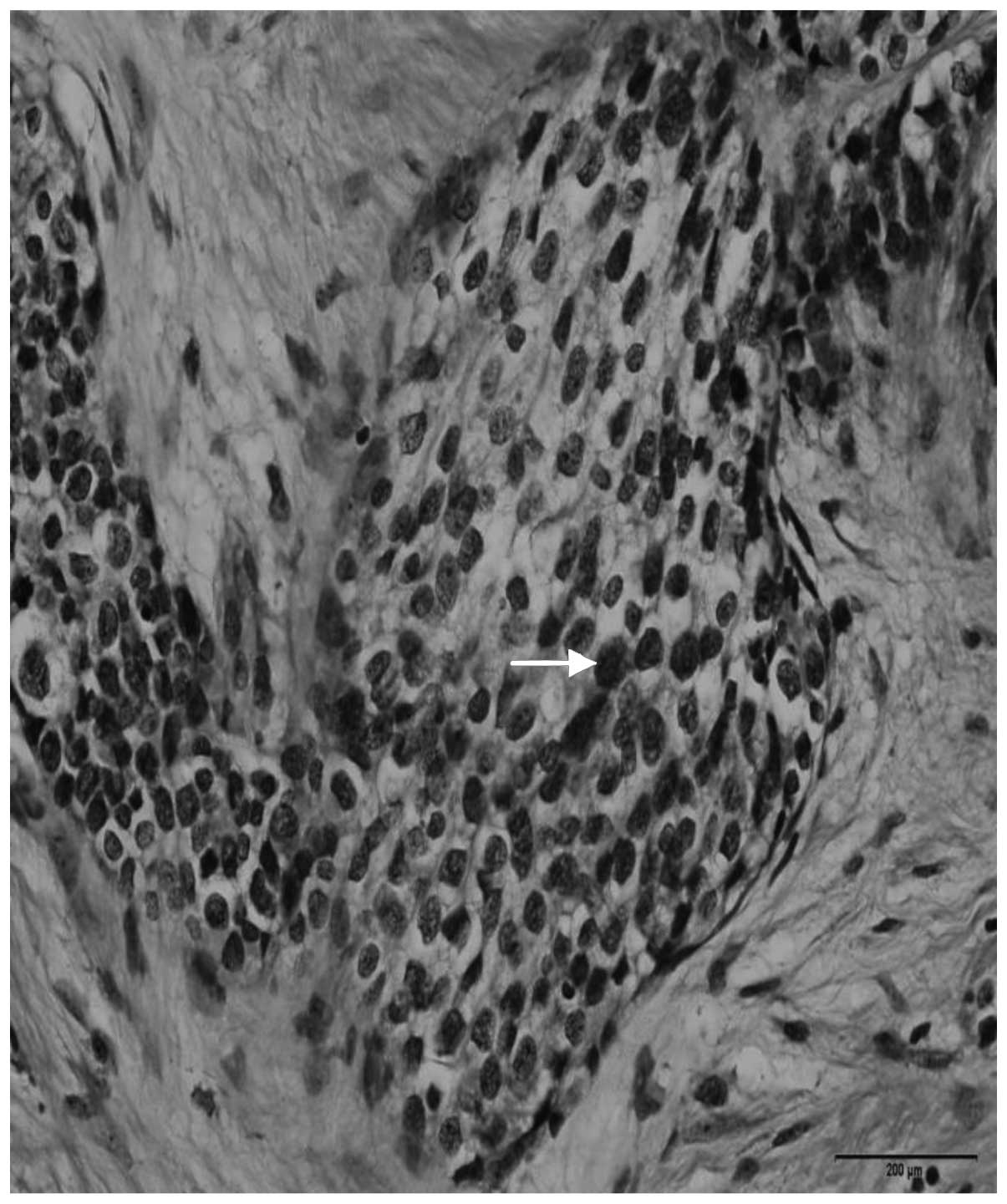
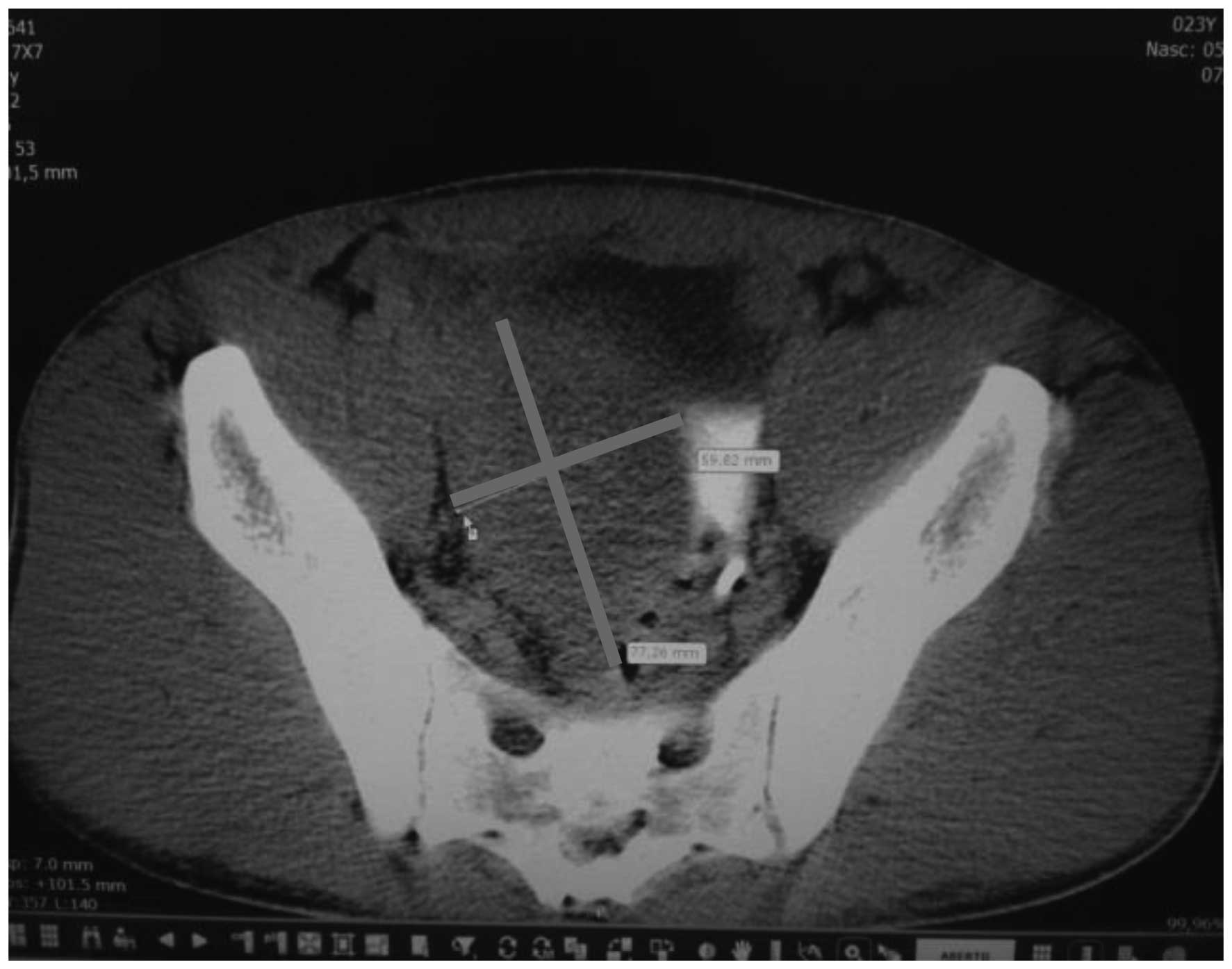
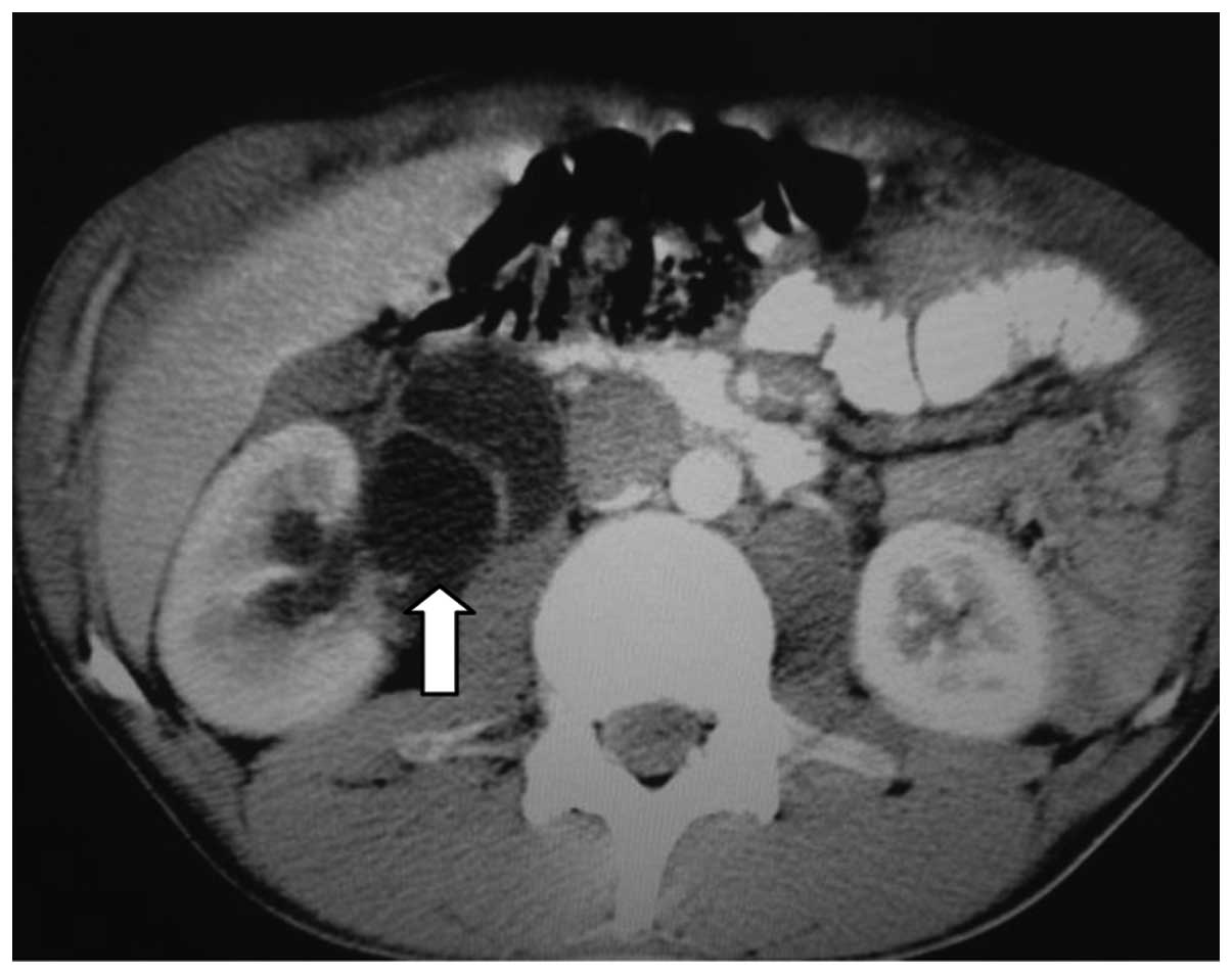
Computed tomography (CT) scans of the abdomen and pelvis revealed a heterogeneous, hypovascular pelvic mass measuring 7.6×6.8 cm (Fig. 1). The mass was located posteriorly and superiorly to the bladder, with thickening of the rectum and a right large hydronephrosis (Fig. 2). Additionally, colonoscopy identified extrinsic compression into the rectum. The differential diagnosis was of a lymphoproliferative lesion or retroperitoneal sarcoma. However, subsequent ultrasound-guided biopsy and histopathological analysis of the pelvic mass indicated a morphology compatible with a high-grade malignant neoplasm. It was characterized by groups of small cells featuring large and hyperchromatic nuclei with scant cytoplasm, arranged in the desmoplastic stroma. Immunohistochemical analysis of this sample revealed positivity for cytokeratin (monoclonal mouse anti-human; clone, AE1/AE3) and desmin (monoclonal mouse anti-human; clone, D33), and negativity for S100 protein (polyclonal rabbit anti-S-100), CD45 (leucocyte common antigen; monoclonal mouse anti-human; clone, 2D1), myogenin (monoclonal mouse anti-myogenin; clone, F5D), chromogranin (polyclonal rabbit anti-human) and WT-1 (Wilms' tumor suppressor gene 1; monoclonal mouse anti-human; clone, 6FH2; all purchased from Dako North America, Inc., Carpinteria, CA, USA). The CD45 negativity excluded a diagnosis of lymphoma. These morphological and immunohistochemical findings indicated a diagnosis of DSRCT (World Health Organization classification, 2013) (7).

During a laparotomy, right hydronephrosis was observed that was caused by a large tumor involving the cecum, terminal ileum and right ureter. Implantation of the tumor was identified in the right colon, liver and pelvic cavity, with involvement of the rectum. Consequently, a resection of the terminal ileum, cecum, right colon, distal segment of ureter, sigmoid colon and middle rectum was performed. In addition, a right, left and pelvic peritoniectomy was performed. Intestinal reconstruction was re-established with an ileo-transverse anastomosis associated with a left colostomy, implantation of a proximal urether into the bladder and insertion of a double-J catheter (Figs. 3 and 4). The post-operative follow-up was uneventful, however, deep vein thrombosis occurred in the right lower limb 20 days after surgery.

Analysis of the surgical specimen confirmed the diagnosis of DSRCT. The morphological and immunohistochemical findings were identical to those observed in the first biopsy. Histological sections indicated a high-grade malignant neoplasm, represented by small cells with hyperchromic nuclei in the center of desmoplastic stroma (Fig. 5). Furthermore, immunohistochemical analysis identified positivity for cytokeratin and desmin, and negativity for S-100, myogenin, Wilms' tumor suppressor gene 1 (WT1), cluster of differentiation 45 (CD45) and chromogranin antibodies. The CD45 negativity excluded a diagnosis of lymphoma.

The patient underwent adjuvant abdominal radiotherapy (dose, 4.5 Gy; duration, 3 months; however, after one year of follow-up, relapse of the disease was observed in the abdominal cavity. The disease relapse was not treated and the patient succumbed to the disease three months after relapse.

Case 2

A 12-year-old female was admitted to the Clinic Hospital of Botucatu School of Medicine in April 2013 due to abdominal pain, emesis and loss of appetite. A physical examination revealed that the patient was in a good general condition, with a body mass index of 33.9 kg/m2 and no palpable abdominal tumors. Upon cross-sectional abdominal CT scan, a soft-tissue mass measuring 6.5 cm in diameter was identified posterior to the pancreatic tail and the stomach, with no anatomical line between the stomach and the splenic vein.

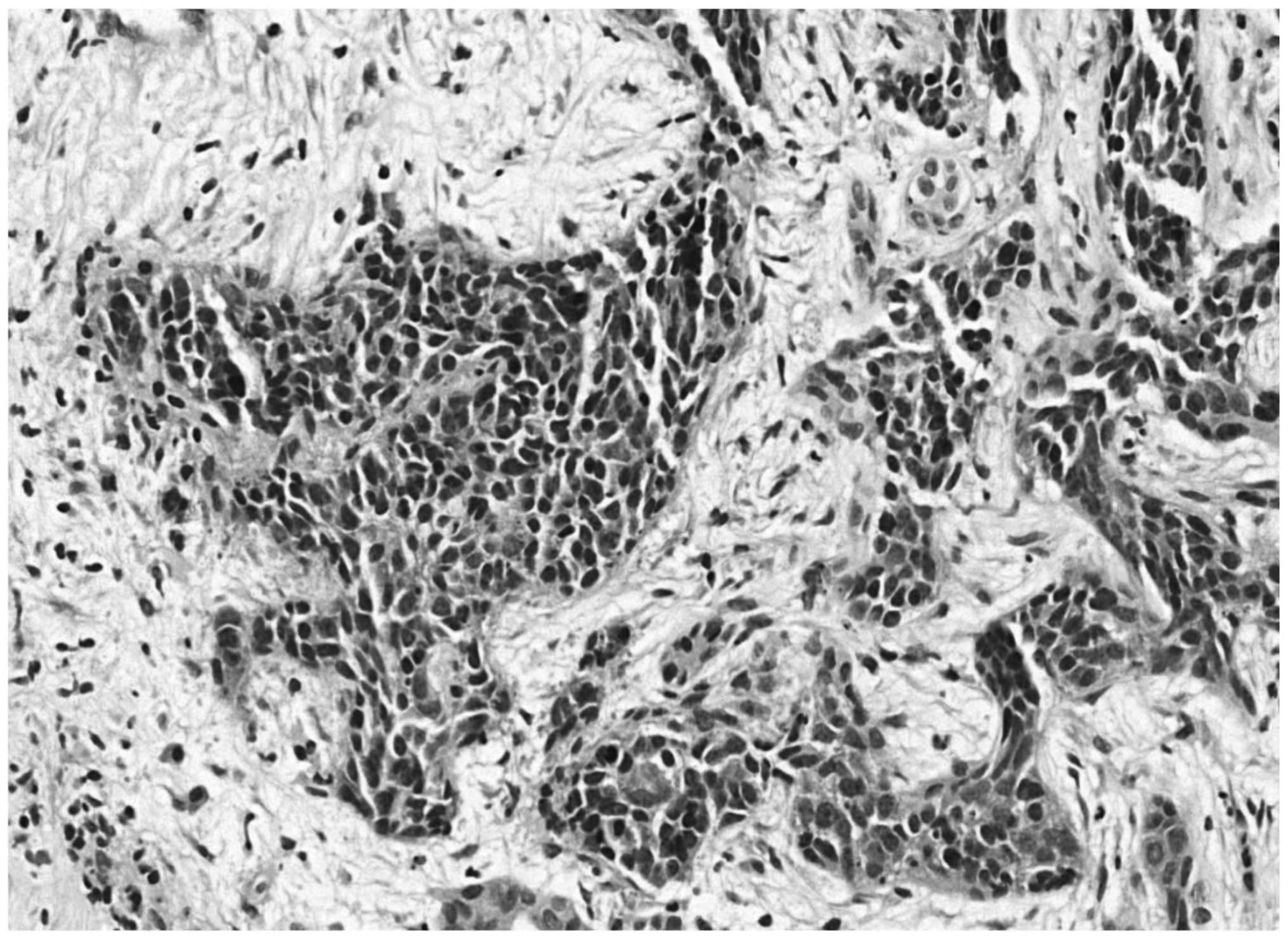
In addition, poorly delimited solid hepatic nodules with peripheral contrast enhancement were identified. The largest hepatic nodule measured 3.4 cm in diameter, and was located on segment IV. Chest CT and bone scintigraphy were normal, and an analysis of tumor markers detected 751 U/l lactate dehydrogenase (normal range, 313–618 U/l), <1.2 mU/ml β-human chorionic gonadotropin (normal range, <5.00 mU/ml), 1.24 ng/ml carcinoembryonic antigen and 2.89 ng/ml α-fetoprotein. During video laparoscopy, a large pancreatic mass, multiple liver metastases and ascites were identified. Biopsies were performed on the pancreatic mass and liver metastases, and ascites fluid was collected. Subsequent histopathological analysis determined a malignant neoplasm composed of small, blue, round cells, and immunohistochemistry identified cytokeratin and vimentin expression (with reinforcement in the paranuclear-Golgi zone), in addition to positive focal staining of desmin in a typical dot-like pattern (Fig. 6). Thus, the diagnosis of a small cell tumor was determined. Additionally, the ascites fluid was positive for neoplastic cells.

Due to extensive disease, chemotherapy was scheduled. The treatment consisted of a vincristine, Adriamycin® and cyclophosphamide (VAC) chemotherapeutic protocol (1 mg/m2 vincristine, 60 mg/m2 Adriamycin and 1.5 g/m2 cyclophosphamide) administered as intravenous bolus infusion on day 1; after 21 days, an ifosfamide, carboplatin and etoposide protocol (3.0 g/m2/day ifosfamide, 450 mg/m2 carboplatin and 150 mg/m2 etoposide) was administered during 3 days. The course was repeated every 3 weeks. Following six sessions of chemotherapy, 25 sessions of radiation therapy were scheduled (180 Gy/session; total dose, 4,500 Gy). While undergoing radiotherapy, Adriamycin was replaced by actinomycin (1.25 mg/m2). Thus far, the patient has completed 8 sessions of chemotherapy and is currently asymptomatic with no abdominal complaints.

An abdominal CT scan revealed a small area (1.0×1.0 cm) in the pancreatic tail with no intravenous contrast enhancement, and two small oval masses located in abdominal segments IV and II, measuring 0.6–0.8 cm in diameter. A total of 25 sessions of chemotherapy, which started in April 2013, were scheduled for completion of the treatment.

Written informed consent was obtained from the two patients for participation in the present study.

Discussion

A diagnosis of DSRCT should be considered in adolescents or young adults who present abdominal distention or an abdominal mass, with abdominal or back pain, signs of gastrointestinal obstruction, lack of appetite, ascites, anemia and/or cachexia. The tumor is most commonly located in the peritoneal cavity. Furthermore, DSRCT must be histologically and cytologically distinguished from other small round cell tumors in children and adolescents. For example, DSRCT should be differentiated from rhabdomyosarcoma, non-Hodgkin's lymphoma, Ewing's sarcoma, primitive neuroectodermal tumor, Wilms' tumor, neuroblastoma and malignant mesothelioma (3,6).

Clinical findings associated with DSRCT include ascites and intraparenchymal liver metastases, and less commonly, retroperitoneal lymphadenopathy, hydronephrosis, bowel calcifications and peritoneal nodular thickening (8). Non-specific symptoms are also observed, such as pain, abdominal distension, and palpable abdominal, pelvic or scrotal masses, occasionally associated with ascites (8).

Patients with DSRCT typically present with a short duration of these symptoms and the disease is almost uniformly fatal, regardless of the treatment modality administered. DSRCTs are chemosensitive tumors, however, systemic chemotherapy typically results in a short-lasting response and a poor gain in survival time (9). Due to its refractory response to individual treatment modalities and the aggressive nature of the disease, an accurate diagnosis of DSRCT has therapeutic implications and is therefore the primary goal of clinicians (6,9).

The most characteristic feature of DSRCT in cross-sectional imaging is single or multiple peritoneal soft-tissue masses with no apparent organ of origin. Such imaging may provide useful data regarding the tumor site and size, and the efficacy of treatment. Imaging examination techniques for DSRCT include ultrasound, CT, magnetic resonance imaging and fluorodeoxyglucose-positron emission tomography/CT imaging. In selected cases, immunohistochemical, electron microscopic, molecular and genetic studies allow reliable discrimination of these small cell neoplasms (10).

DSRCT is characterized by the following distinctive pathological findings: A nesting pattern of cellular growth within dense desmoplastic stroma, and immunohistochemical co-expression of epithelial, muscle and neural markers (11). Of the 48 cases described by Zhang et al (11), the tumor cells exhibited diffuse to focal positivity for cytokeratin (37/42 cases; 88.10%), epithelial membrane antigen (33/41 cases; 80.49%), desmin (45/46 cases; 97.83%), vimentin (43/45 cases; 95.56%), CD99 (6/20 cases; 30.00%), neuron-specific enolase (38/45 cases; 84.44%), synaptophysin (2/15 cases; 13.33%) and chromogranin antibody (4/19 cases; 21.05%). The stromal cells of the tumor were positive for smooth muscle antibody (10/13 cases; 76.92%) and HBME1 (2/2 cases; 100.00%). Therefore, DSRCT has a divergent differentiation, which is an important feature of this tumor. Chang (12), in a review of the literature, demonstrated that the tumor cells are positive for epithelial (keratin and epithelial membrane antigen), mesenchymal (vimentin), myogenic (desmin) and neural (neuron-specific enolase and CD56) antibodies. The author also indicated that the majority of DSRCTs are positive for WT-1, when the polyclonal antibody against the amino terminus of the WT-1 protein is used. Furthermore, CD99 usually demonstrated cytoplasmic staining, as opposed to the membranous staining observed in Ewing sarcoma/peripheral neuroectodermal tumor (12).

Constitutive genetic expression observed in DSRCT reveals the unique t(11;22)(p13;q11 or q12) reciprocal translocation, the result of fusion between exon 7 of the Ewing's sarcoma gene (EWS) on chromosome 22 with exon 8 of the WT1 gene on chromosome 11. The EWS-WT1 fusion protein gene serves as a disease-specific marker, and as its defining cytogenetic abnormality, yields a definitive diagnosis of DSRCT (13). Molecular evidence of t(11;22)(p13;q12) was also demonstrated by Zhang et al (11) in a small proportion of the patient cohort.

The efficacy of treatment strategies and the prognosis of patients with DSRCT remains controversial, with no standard management protocols established. This is, in part, due to the clinically aggressive nature of the neoplasm. For example, complete excision is often difficult to obtain due to the presence of multiple implants in the peritoneum. The lack of established standard treatment protocol is also associated with the limited number of patients in all previously reported series. However, the current literature indicates that an aggressive approach involving total macroscopic excision of the tumors combined with radiation and chemotherapy may provide the greatest opportunity for disease control and disease-free survival (6,9,13,14). Thus, the elimination of sarcoma tumors and metastases using physical approaches is essential for durable responses (15).

Therapeutic DSRCT management remains a challenge, with low efficacy responses despite the combination of aggressive treatment strategies, such as surgery, debulking, polychemotherapy, whole abdominal radiation, hyperthermic intraperitoneal chemotherapy (HIPEC), bone marrow transplantation and targeted therapy (11,14).

In the retrospective study of 48 patients by Zhang et al (11), the percentage of patients who received surgery, complete resection or chemotherapy was 79.17, 37.50 and 52.08%, respectively. The median follow-up duration was 2.67 years, the median overall survival time was 24.33 months [95% confidence interval (CI), 9.74–38.92] and the median event-free survival time of all patients was 8.00 months (95% CI, 5.13–10.89). Univariate analysis of this data revealed that surgery, effective debulking surgery, chemotherapy and any two or more combined therapies were significant prognostic factors for a longer overall survival time (P<0.05).

Aggressive surgical debulking is the primary therapeutic strategy for patients with DSRCT. Debulking surgery is defined as the definitive removal of ≥90% of the tumor burden, as complete resection is rarely possible due to extensive dissemination. In the study by Zhang et al (11), 68.75% (33/48 cases) of patients succumbed between 2 and 123 months (mean survival, 13.63 months).

In case 1 of the present study, the right ureter was involved with extensive hydronephrosis; therefore, the selected treatment strategy was surgical debulking of the tumor. Debulking was performed in conjunction with block resection of the lesion associated with a pelvic peritoniectomy and followed by post-operative radiotherapy. However, due to extensive disease in the second patient, chemotherapy with a VAC protocol and radiation therapy were scheduled. A relapse of the disease was observed in the abdominal cavity of the patient after one year; however, the patient from case 2 is currently asymptomatic.

The most representative chemotherapeutic protocol for patients with DSRCT is the P6 regimen, initially reported in 1996 by Kushner et al (9). According to a subsequent study conducted by Lal et al (5), 44% of patients underwent induction of P6 chemotherapy, surgical debulking and radiotherapy. The 3- and 5-year overall survival rates were 44 and 15%, respectively. In addition, the three-year survival rates were 55% for those receiving chemotherapy, surgery and radiotherapy, versus 27% when all three modalities were not used (P<0.020).

A metastatic seeding pattern via lymphatic and hematogenous routes is common in DSRCT, with the omentum frequently affected, followed by spread to distant lymph nodes, the liver, the lungs and occasionally, other locations. Such events mean all necessary efforts should be made to administer combined treatment approaches to patients with this disease (15).

The effect of a complete resection of disseminated DSRCTs on survival remains unknown due to the rarity of achieving it during surgery (15). Therefore, multimodal treatment in the form of high-dose (P6 protocol) chemotherapy, maintenance chemotherapy, debulking surgery, cytoreductive surgery and radiotherapy are generally preferred, as these strategies have previously exhibited a tumor response. Alternative treatment strategies include hemopoietic stem cell transplantation, intensity-modulated radiotherapy, radiofrequency ablation and HIPEC (15).

Biswas et al (16) demonstrated that complete surgical excision appears to improve survival in patients with DSRCT; however, additional adjuvant therapy is urgently required due to the high recurrence and aggressive biology of the tumor (17). Bisogno et al (18) proposed a sequential intensified chemotherapeutic strategy with peripheral blood stem cell (PBSC) rescue for children and adolescents with DSRCT. The study was designed to investigate the role of early sequential intensified RMS 4.99 chemotherapy with PBSC rescue in soft-tissue sarcoma patients with a poor prognosis. However, the prognosis for pediatric patients with DSRCT did not improve following administration of intensified chemotherapy early in the treatment regime; therefore, the development of novel strategies is required.

A complete surgical resection with cisplatin-based microspheres in yttrium and HIPEC for cases with liver metastases was identified to be useful in the treatment of DSRCT (17). Furthermore, it has been stated that HIPEC is safe for use in children and may prolong disease-free survival in select cases (19). In addition, preclinical studies have demonstrated that vascular endothelial growth factor receptor-2 (VEGFR-2) and VEGFA are overexpressed in DSRCT, and that DSRCT xenografts are highly responsive to treatment with anti-VEGF agents, such as bevacizumab. However, data regarding the potential therapeutic role of antiangiogenic agents in DSRCT is rare (14). Another candidate for the treatment of DSRCT is sunitinib, a multi-kinase inhibitor that blocks various tyrosine kinase receptors, such as VEGFR, platelet-derived growth factor receptors, v-kit Hardy-Zuckerman 4 feline sarcoma viral oncogene homolog, fms-related tyrosine kinase 3 and colony stimulating factor receptor-1. Preliminary results build on a prior report of a single patient with DSCRT responding to sunitinib, indicating the potential efficacy of this agent, even in heavily pretreated patients (20).

In conclusion, based on the analysis of the two cases described in the present study, it was determined that aggressive treatment regimens may induce tumor regression. However, relapse of the disease is frequent and long-term survival is rare with the currently available therapies. Considering that all knowledge of this disease entity is based on reports in a small number of patients, additional studies addressing the current protocols are required to enable selection of the most appropriate treatment regimens.

References

1 

Gerald WL and Rosai J: Case 2. Desmoplastic small cell tumor with divergent differentiation. Pediatr Pathol. 9:177–183. 1989. View Article : Google Scholar : PubMed/NCBI

2 

Gerald WL, Miller HK, Battifora H, et al: Intra-abdominal desmoplastic small round-cell tumor. Report of 19 cases of a distinctive type of high-grade polyphenotypic malignancy affecting young individuals. Am J Surg Pathol. 15:499–513. 1991. View Article : Google Scholar : PubMed/NCBI

3 

Dufresne Al, Cassier P, Couraud L, et al: Desmoplastic small round cell tumor: Current management and recent findings. Sarcoma. 2012:7149862012. View Article : Google Scholar : PubMed/NCBI

4 

Syed S, Haque AK, Hawkins HK, Sorensen PHB and Cowan DF: Desmoplastic small round cell tumor of the lung. Arch Pathol Lab Med. 126:1226–1228. 2002.PubMed/NCBI

5 

Lal DR, Su WT, Wolden SL, et al: Results of multimodal treatment for desmoplastic small round cell tumors. J Pediatr Surg. 40:251–255. 2005. View Article : Google Scholar : PubMed/NCBI

6 

Stuart-Buttle CE, Smart CJ, Pritchard S, Martin D and Welch IM: Desmoplastic small round cell tumour: A review of literature and treatment options. Surg Oncol. 17:107–112. 2008. View Article : Google Scholar : PubMed/NCBI

7 

Fletcher CDM, Bridge JA, Hogendoorn PCW and Martens F: WHO Classification of Tumors of Soft Tissue and Bone - Pathology and GeneticsIARC; Lyon, France: 2013

8 

Gil A, Gomez Portilla A, Brun EA and Sugarbaker PH: Clinical perspective on desmoplastic small round-cell tumor. Oncology. 67:231–242. 2004. View Article : Google Scholar : PubMed/NCBI

9 

Kushner BH, LaQuaglia MP, Wollner N, Meyers PA, Lindsley KL, Ghavimi F, et al: Desmoplastic small round-cell tumor: Prolonged progression free survival with aggressive multimodality therapy. J Clin Oncol. 14:1526–1531. 1996.PubMed/NCBI

10 

Meis-Kindblom JM, Stenman G and Kindblom LG: Differential diagnosis of small round cell tumors. Semin Diagn Pathol. 13:213–241. 1996.PubMed/NCBI

11 

Zhang J, Xu H, Ren F, Yang Y, Chen B and Zhang F: Analysis of clinicopathological features and prognostic factors of desmoplastic small round cell tumor. Pathol Oncol Res. 20:161–168. 2014. View Article : Google Scholar : PubMed/NCBI

12 

Chang F: Desmoplastic small round cell tumors: cytologic, histologic, and immunohistochemical features. Arch Pathol Lab Med. 130:728–732. 2006.PubMed/NCBI

13 

Quaglia MP and Brennan MF: The clinical approach to desmoplastic small round cell tumor. Surg Oncol. 9:77–81. 2000. View Article : Google Scholar : PubMed/NCBI

14 

Anderson PM and Pearson M: Novel therapeutic approaches in pediatric and young adult sarcomas. Curr Oncol Rep. 8:310–315. 2006. View Article : Google Scholar : PubMed/NCBI

15 

Talarico F, Iusco D, Negri L and Belinelli D: Combined resection and its multi-agent adjuvant chemotherapy in intra-abdominal desmoplastic small round cell is tumour: Case report and review of the literature. G Chir. 28:367–370. 2007.PubMed/NCBI

16 

Biswas G, Laskar S, Banavali SD, Gujral S, Kurkure AP, Muckaden M, Parikh PM and Nair CN: Desmoplastic small round cell abdominal tumour: Extra abdominal and abdominal presentations and the results of treatment. Indian J Cancer. 42:78–84. 2005. View Article : Google Scholar : PubMed/NCBI

17 

Hayes-Jordan A and Anderson PM: The diagnosis and management of desmoplastic small round cell tumor: A review. Curr Opin Oncol. 23:385–389. 2011. View Article : Google Scholar : PubMed/NCBI

18 

Bisogno G, Ferrari A, Rosolen A, Alaggio R, Scarzello G, Garaventa A, Arcamone G and Carli M: Sequential intensified chemotherapy with stem cell rescue for children and adolescents with desmoplastic small round-cell tumor. Bone Marrow Transplant. 45:907–911. 2010. View Article : Google Scholar : PubMed/NCBI

19 

Hayes-Jordan A, Green H, Fitzgerald N, Xiao L and Anderson P: Novel treatment for desmoplastic small round cell tumor: Hyperthermic intraperitoneal perfusion. J Pediatr Surg. 45:1000–1006. 2010. View Article : Google Scholar : PubMed/NCBI

20 

Italiano A, Kind M, Cioffi A, Maki RG and Bui B: Clinical activity of sunitinib in patients with advanced desmoplastic round cell tumor: A case series. Target Oncol. 8:211–213. 2013. View Article : Google Scholar : PubMed/NCBI

Related Articles

Journal Cover

August-2015
Volume 10 Issue 2

Print ISSN: 1792-1074
Online ISSN:1792-1082

Sign up for eToc alerts

Recommend to Library

Copy and paste a formatted citation
x
Spandidos Publications style
da Silva Pechutti DC, Toledo de Arruda Lourençao PL, Takegawa BK, Oliveira CC and Bakonyi Neto A: Requirement for novel surgical and clinical protocols for the treatment of desmoplastic small round cell tumor: A report of two cases and a review of the literature. Oncol Lett 10: 1103-1108, 2015.
APA
da Silva Pechutti, D.C., Toledo de Arruda Lourençao, P.L., Takegawa, B.K., Oliveira, C.C., & Bakonyi Neto, A. (2015). Requirement for novel surgical and clinical protocols for the treatment of desmoplastic small round cell tumor: A report of two cases and a review of the literature. Oncology Letters, 10, 1103-1108. https://doi.org/10.3892/ol.2015.3283
MLA
da Silva Pechutti, D. C., Toledo de Arruda Lourençao, P. L., Takegawa, B. K., Oliveira, C. C., Bakonyi Neto, A."Requirement for novel surgical and clinical protocols for the treatment of desmoplastic small round cell tumor: A report of two cases and a review of the literature". Oncology Letters 10.2 (2015): 1103-1108.
Chicago
da Silva Pechutti, D. C., Toledo de Arruda Lourençao, P. L., Takegawa, B. K., Oliveira, C. C., Bakonyi Neto, A."Requirement for novel surgical and clinical protocols for the treatment of desmoplastic small round cell tumor: A report of two cases and a review of the literature". Oncology Letters 10, no. 2 (2015): 1103-1108. https://doi.org/10.3892/ol.2015.3283