A disintegrin and metalloproteinase 17 mRNA and protein expression in esophageal squamous cell carcinoma, as well as its clinicopathological factors and prognosis
- Authors:
- Hong‑Bin Liu
- Qi‑Chang Yang
- Yi Shen
- Yan Zhu
- Xiao‑Juan Zhang
- Hao Chen
-
View Affiliations
Affiliations: Department of Pathology, The Second Affiliated Hospital of Nantong University, Nantong, Jiangsu 226001, P.R. China
- Published online on: October 29, 2014 https://doi.org/10.3892/mmr.2014.2802
-
Pages:
961-967
-
Copyright: © Liu
et al. This
is an open access article distributed under the
terms of Creative
Commons Attribution License [CC BY_NC 3.0].
Metrics:
Total
Views: 0 (Spandidos Publications: | PMC Statistics:
)
Metrics:
Total PDF Downloads: 0 (Spandidos Publications: | PMC Statistics:
)
This article is mentioned in:
Abstract
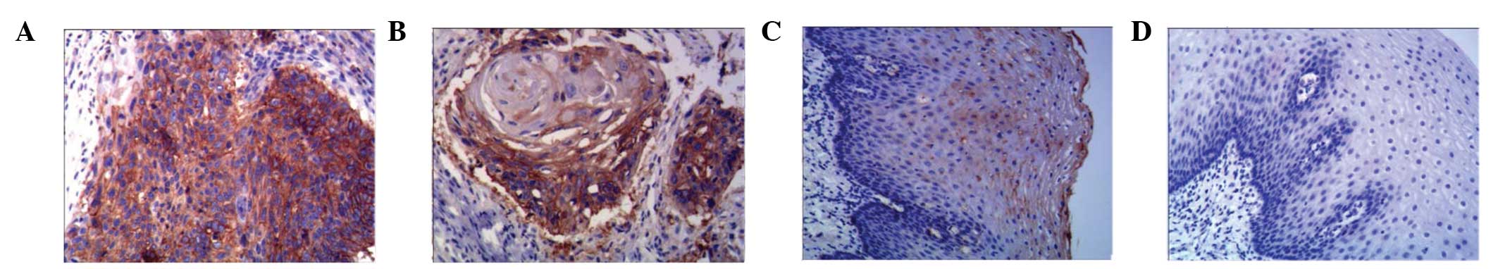
The aim of the present study was to explore a disintegrin and metalloproteinase 17 (ADAM17) mRNA and protein expression in esophageal squamous cell carcinoma and its association with clinicopathological factors and prognosis. Through semi‑quantitative reverse transcription polymerase chain reaction, the ADAM17 mRNA expression in 50 cases of esophageal squamous cell carcinoma and corresponding normal esophageal mucosa were detected. Using streptavidin peroxidase conjugated immunohistochemistry, ADAM17 protein levels were detected in 80 cases of esophageal squamous cell carcinoma and corresponding normal esophageal mucosa. A log rank test and the Cox proportional hazards model were used for the esophageal cancer survival analysis. ADAM17 mRNA expression levels in esophageal squamous cell carcinoma and corresponding normal esophageal mucosa were 0.937±0.241 and 0.225±0.077, respectively (P<0.01). ADAM17 mRNA expression in esophageal squamous cell carcinoma was correlated with lymph node metastasis (P<0.01) and tumor, node and metastasis (TNM) staging (P<0.05), however, it was not correlated with gender, age or histological grade (P>0.05). ADAM17 protein expression rates in esophageal squamous cell carcinoma and corresponding normal esophageal mucosa were 66.25 and 6.25% respectively, a difference that was statistically significant (P<0.01). In addition, ADAM17 protein expression in esophageal squamous cells was correlated with lymph node metastasis and TNM stage (P<0.05), while it was not correlated with gender, age or histological grade (P>0.05). ADAM17 protein expression and epidermal growth factor receptor (EGFR) protein expression were positively correlated (P<0.01). Lymph node metastasis, TNM stage, ADAM17 and EGFR protein expression may be used as independent prognostic indicators of esophageal squamous cell carcinoma (all P<0.05). ADAM17 mRNA and protein were highly expressed in esophageal squamous cell carcinoma; they have important roles in invasion and metastasis and a certain value in judging the prognosis of patients with esophageal squamous cell carcinoma.
View References
1
|
Klein T and Bischoff R: Active
metalloproteases of the A Disintegrin and Metalloprotease (ADAM)
family: biological function and structure. J Proteome Res.
10:17–33. 2011. View Article : Google Scholar
|
2
|
Benarroch EE: ADAM proteins, their
ligands, and clinical implications. Neurology. 78:914–920. 2012.
View Article : Google Scholar : PubMed/NCBI
|
3
|
Le Gall SM, Bobe P, Reiss K, et al: ADAMs
10 and 17 represent differentially regulated components of a
general shedding machinery for membrane proteins such as
transforming growth factor alpha, L-selectin, and tumor necrosis
factor alpha. Mol Biol Cell. 20:1785–1794. 2009. View Article : Google Scholar : PubMed/NCBI
|
4
|
Saftig P and Reiss K: The “A Disintegrin
And Metalloproteases” ADAM10 and ADAM17: novel drug targets with
therapeutic potential? Eur J Cell Biol. 90:527–535. 2011.
View Article : Google Scholar : PubMed/NCBI
|
5
|
Lorenzen I, Trad A and Grozinger J:
Multimerisation of A disintegrin and metalloprotease protein-17
(ADAM17) is mediated by its EGF-like domain. Biochem Biophys Res
Commun. 415:330–336. 2011. View Article : Google Scholar : PubMed/NCBI
|
6
|
McGowan PM, Ryan BM, Hill AD, et al:
ADAM-17 expression in breast cancer correlates with variables of
tumor progression. Clin Cancer Res. 13:2335–2343. 2007. View Article : Google Scholar : PubMed/NCBI
|
7
|
Baumgart A, Seidl S, Vlachou P, et al:
ADAM17 regulates epidermal growth factor receptor expression
through the activation of Notch1 in non-small cell lung cancer.
Cancer Res. 70:5368–5378. 2010. View Article : Google Scholar : PubMed/NCBI
|
8
|
Ebi M, Kataoka H, Shimura T, et al:
TGFbeta induces proHB-EGF shedding and EGFR transactivation through
ADAM activation in gastric cancer cells. Biochem Biophys Res
Commun. 402:449–454. 2010. View Article : Google Scholar : PubMed/NCBI
|
9
|
Ding X, Yang LY, Huang GW, Wang W and Lu
WQ: ADAM17 mRNA expression in isolation, large hepatocellular
carcinoma and its significance. Zhong Hua Gan Dan Wai Ke Za Zhi.
11:544–546. 2005.
|
10
|
Kornfeld JW, Meder S, Wohlberg M, et al:
Overexpression of TACE and TIMP3 mRNA in head and neck cancer:
association with tumour development and progression. Br J Cancer.
104:138–145. 2011. View Article : Google Scholar :
|
11
|
Hinsley EE, Hunt S, Hunter KD, Whawell SA
and Lambert DW: Endothelin-1 stimulates motility of head and neck
squamous carcinoma cells by promoting stromal-epithelial
interactions. Int J Cancer. 130:40–47. 2012. View Article : Google Scholar
|
12
|
Sakamoto N, Oue N, Noguchi T, et al:
Serial analysis of gene expression of esophageal squamous cell
carcinoma: ADAMTS16 is upregulated in esophageal squamous cell
carcinoma. Cancer Sci. 101:1038–1044. 2010. View Article : Google Scholar : PubMed/NCBI
|
13
|
Merchant NB, Voskresensky I, Rogers CM, et
al: TACE/ADAM-17: a component of the epidermal growth factor
receptor axis and a promising therapeutic target in colorectal
cancer. Clin Cancer Res. 14:1182–1191. 2008. View Article : Google Scholar : PubMed/NCBI
|
14
|
Liu YP and Xu L: Influence of epidermal
growth factor receptor targeted therapy related molecular
detection. Zhong Hua Zhong Liu Za Zhi. 33:81–83. 2011.
|
15
|
Han Y, Xu JM, Duan HQ, et al: The
treatment of EGFR gene mutation and the curative effect of
treatment of advanced non-small cell lung cancer and prognosis.
Zhong Hua Zhong Liu Za Zhi. 29:278–283. 2007.
|